Endodontie
Einen Zahn funktionsfähig zu erhalten ist Ziel einer Wurzelbehandlung. Weil eigene, natürliche Zähne besser sind als jeder Zahnersatz, versuchen wir mit einer Wurzelkanalbehandlung oder einer Wurzelspitzenresektion gefährdete Zähne zu erhalten
Wurzelbehandlung
Bei einer endodontischen Behandlung des Zahnes wird der Zahnnerv, der durch Karies, Bakterien oder Entzündung erkrankt ist, therapiert. Um auch feine Wurzelkanäle aufzufinden, arbeiten wir mit elektronischer Längenmessung und Mikroskop. Bei Wurzelkanalbehandlungen erleichtert uns ein OP-Mikroskop die Einsicht in den Zahn. Auch feinste Kanäle können dargestellt und unter Sicht aufbereitet werden.
Ziel der Wurzelkanalbehandlung ist die Entfernung von Bakterien und restlichem Nervengewebe aus dem Kanal, die Reinigung und Desinfizierung, sowie das Auffüllen und der Verschluss des Hohlraumes. Um einen perfekten Verschluss zu gewährleisten wird Guttapercha erwärmt und mit Ultraschall verdichtet.
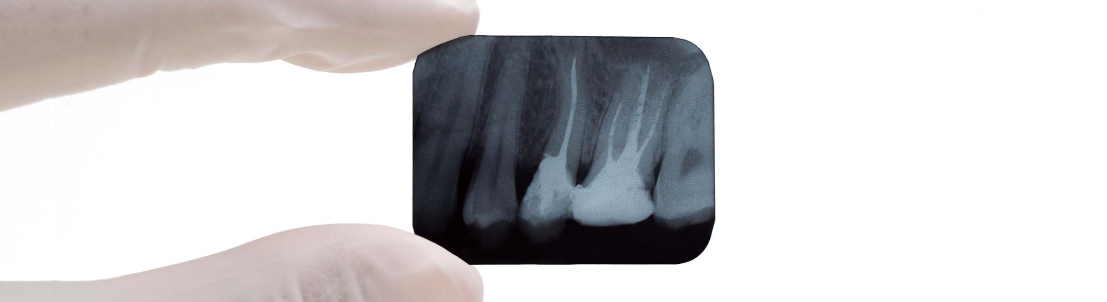
Während und nach der Behandlung werden Röntgenaufnahmen gefertigt, um den Behandlungsverlauf und den Erfolg zu kontrollieren und zu dokumentieren.
