Digitale Diagnostik
Wir nutzen innovative Diagnosetechniken. Detaillierte, umfassende Diagnosen sind die Grundlage, um Planung und Behandlung so präzise wie möglich zu gestalten. Mit digitaler, strahlungsarmer Röntgentechnik erhalten wir genaue Informationen zur Knochensituation und -qualität. Ausführliche Diagnostik und präzise prä- und postoperative Planung bilden die Basis für eine medizinisch sinnvolle Therapie und unterstützen vor und während des Eingriffs.
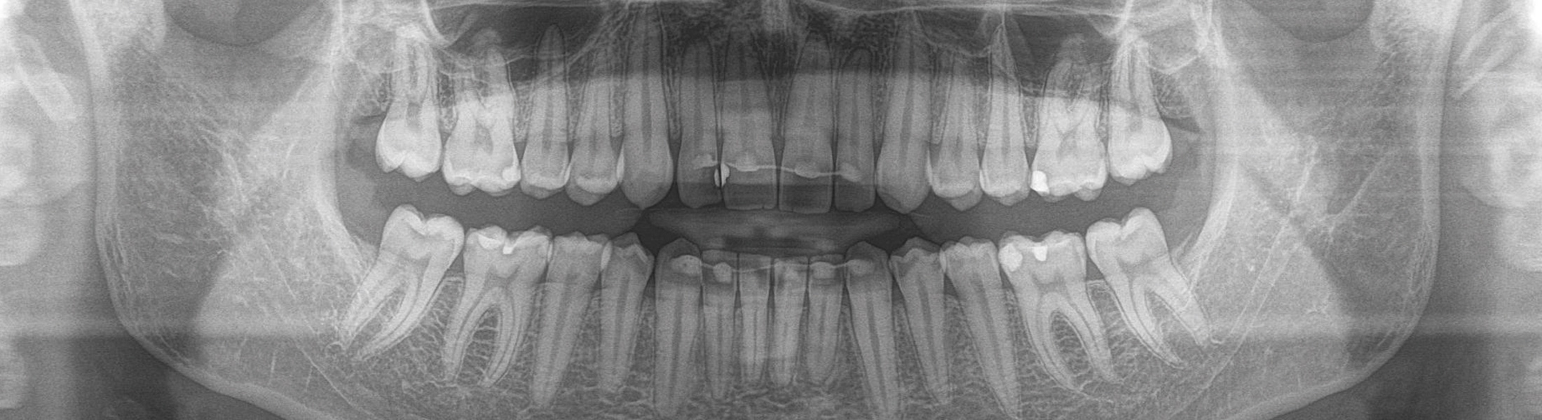
Digitale Volumentomographie

Wenn die klassische Diagnostik keine eindeutigen Ergebnisse liefert, lassen wir mit einem Digitalen Volumentomographen (DVT) eine detailliertere, 3-dimensionale Diagnostik erstellen. Mit den gestochen scharfen 3-D-Ansichten können die knöchernen Strukturen des Oberkiefers und des Unterkiefers, ausgesuchte, einzelne Segmente oder komplexe Zusammenhänge detailliert dargestellt und analysiert werden. Es können Befunde diagnostiziert werden, die oft mit konventionellen Aufnahmetechniken nicht erkennbar sind.
Diese neue Technik der digitalen Volumentomographie eröffnet der Zahnmedizin heute zuverlässige diagnostische und therapeutische Möglichkeiten in der Implantologie, Prothetik, Kieferorthopädie und Zahnerhaltung.
